Complete Mandibular Rehabilitation with MAER Implants and TOV Implant Retentor System
In this clinical case, we present a complete mandibular rehabilitation performed using MAER implants and the Retentor retention system from TOV-IMPLANT.
The objective: to combine primary stability, prosthetic precision, and patient comfort within a simple and reproducible protocol.
Clinical Case: Complete Mandibular Rehabilitation with MAER Implants and TOV Implant Retentor System
Dr. Stéphane Berg, France
Clinical Context:

A 64-year-old male patient, former smoker, presenting with complete mandibular edentulism, was treated with an implant-supported rehabilitation. The treatment included the extraction of all remaining mobile teeth and the placement of three MAER implants. A temporary prosthesis was stabilized using two attachments. After 5 months, the definitive prosthesis was delivered, stabilized with Retentor attachments (TOV).
Step 1: Consultation and Diagnosis
The patient presents with complete maxillary edentulism and subtotal mandibular edentulism. He complains about the mobility of the remaining mandibular teeth and the instability of his partial denture. Clinical and radiographic examinations (panoramic X-ray) reveal significant bone resorption and generalized periodontal disease. The prognosis of the remaining teeth (mobility class II to III) is considered unfavorable.
A comprehensive treatment plan is established, involving the fabrication of a complete maxillary removable denture and a complete mandibular implant-retained overdenture. This plan includes the extraction of the mobile mandibular teeth and the placement of three implants in the symphyseal region.
Step 2: Extractions and Site Preparation
The remaining teeth are extracted, followed by careful alveolar curettage to remove granulation tissue. The bony ridge is regularized to create a suitable foundation. A bone graft material is used to fill the alveolar defects and promote bone regeneration.

Step 3: Placement of MAER Implants


Three MAER implants are placed in the symphyseal region. Their conical design and deep threads provide excellent primary stability, especially in medium-density bone. The geometry of the MAER implants ensures optimal stability, and guiding gauges were used to maintain perfect implant alignment.
Step 4: Stabilization of the Temporary Prosthesis

The temporary prosthesis is stabilized using two attachments, providing effective retention during the healing phase. These attachments facilitate adaptation of the temporary prosthesis but do not replace the Retentor attachment system, which will be placed on the implants after the osseointegration phase.
Step 5: Placement of Retentor Attachments

Five months after surgery, Retentor attachments are screwed onto the MAER implants to stabilize the final prosthesis. These attachments provide optimal retention while maximizing patient comfort. The Retentor system ensures strong prosthesis stability and secure retention, while still allowing the patient to easily remove the prosthesis for daily hygiene. The modular nylon inserts offer adjustable retention, which can be tailored to the patient's preferences.
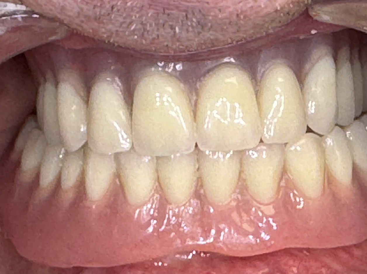
Step 6: Final Result and Conclusion

The final prosthesis, stabilized with Retentor attachments, enabled the patient to regain optimal masticatory function and significant comfort. The patient’s smile was restored with improved aesthetics thanks to a stable and functional prosthetic solution. The excellent biocompatibility of the attachments ensured ideal gingival integration and the complete absence of inflammation.
The MAER implants provided the necessary stability for the prosthesis, and their combination with Retentor attachments allowed for a fast, efficient, and long-lasting rehabilitation in this case.
Advantages of TOV Implant Retentor Attachments:
-
Optimal Stability: Secure retention of the prosthesis during mastication, enhancing functional performance.
-
Maximum Comfort: Undesirable movements of the prosthesis are minimized, offering patients a more comfortable daily experience.
-
Easy Maintenance: The prosthesis can be easily removed and reinserted, facilitating oral hygiene routines.
-
Adjustable Retention: Nylon inserts allow customizable retention levels to suit each patient’s preferences.
-
Compact Design: The attachments are discreet and do not interfere with the aesthetics of the patient’s smile.
----------------

Dr. Stéphane Berg practices in Walbourg, France.
He earned his Doctorate in Dental Surgery from the Faculty of Dentistry in Strasbourg. Following his degree, he completed a University Diploma in Periodontology and Occlusodontics.
Driven by a passion for implantology, Dr. Berg joined Cochin Hospital in Paris, where he obtained a University Diploma in Implantology and Implant Prosthetics. He specializes in dental surgery, implantology, and prosthetic dentistry.

.jpeg)
.png)
Comments
No comment at this time!
Leave your comment